• LinkedIn
  • Subcribe to Our RSS Feed

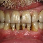
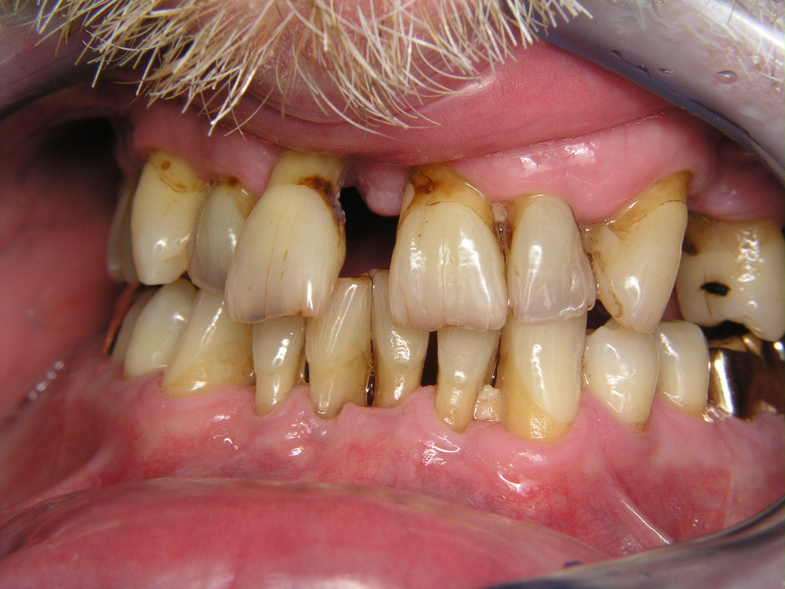
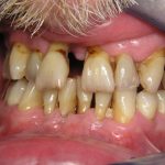
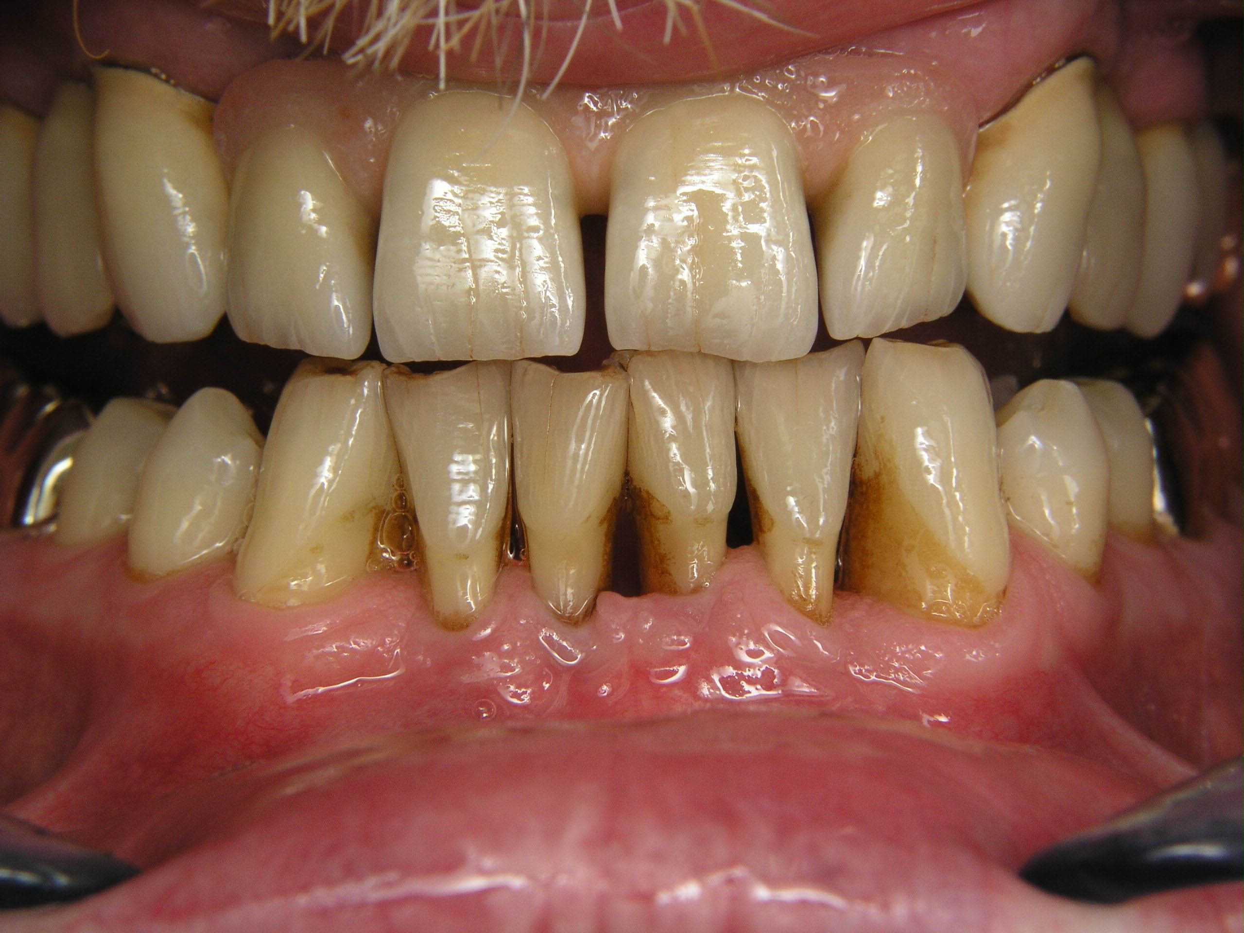
Voor-Na serie 3

Wanneer u op de foto’s klikt zal een vergroting worden weergegeven.