• LinkedIn
  • Subcribe to Our RSS Feed

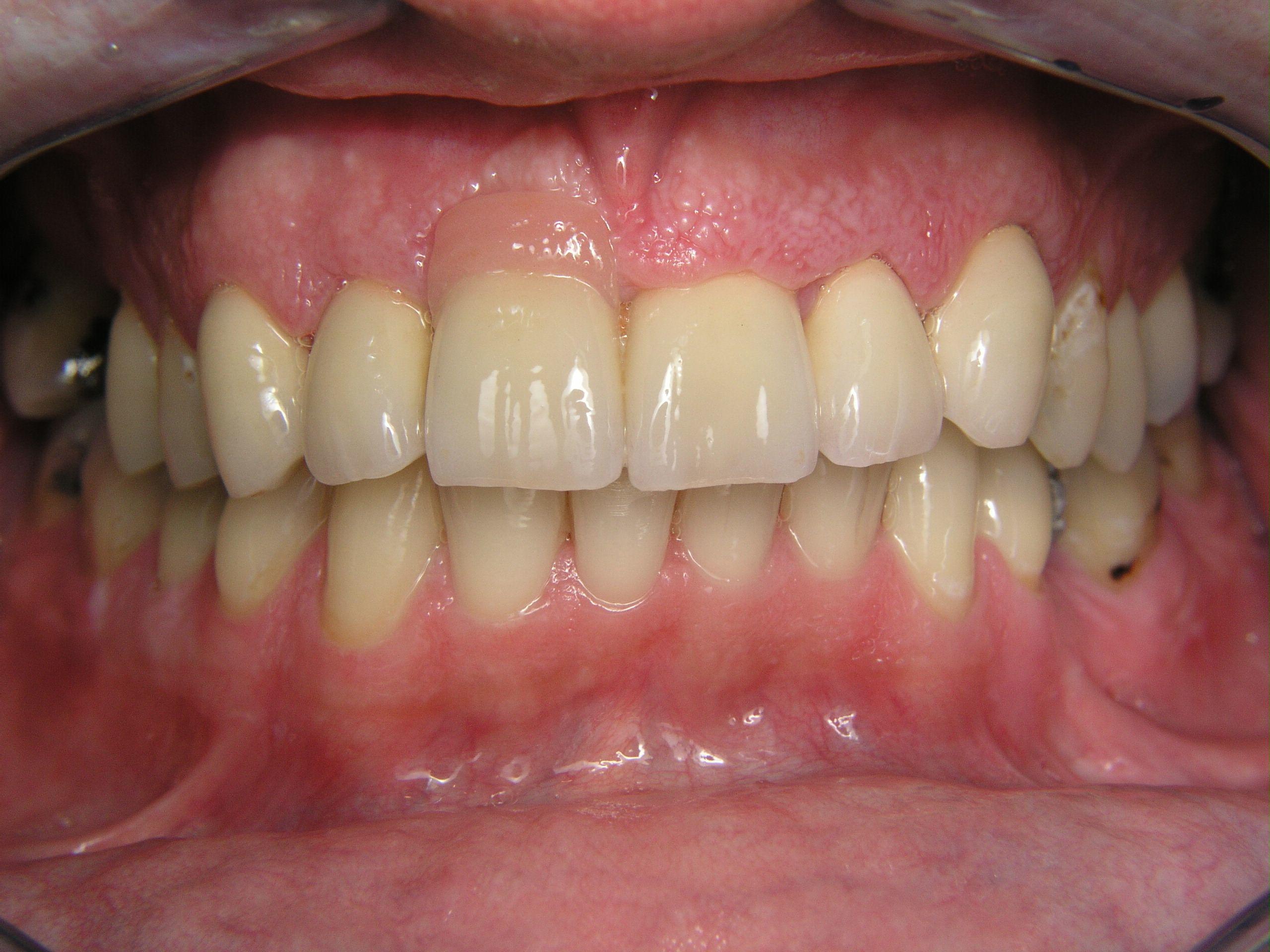
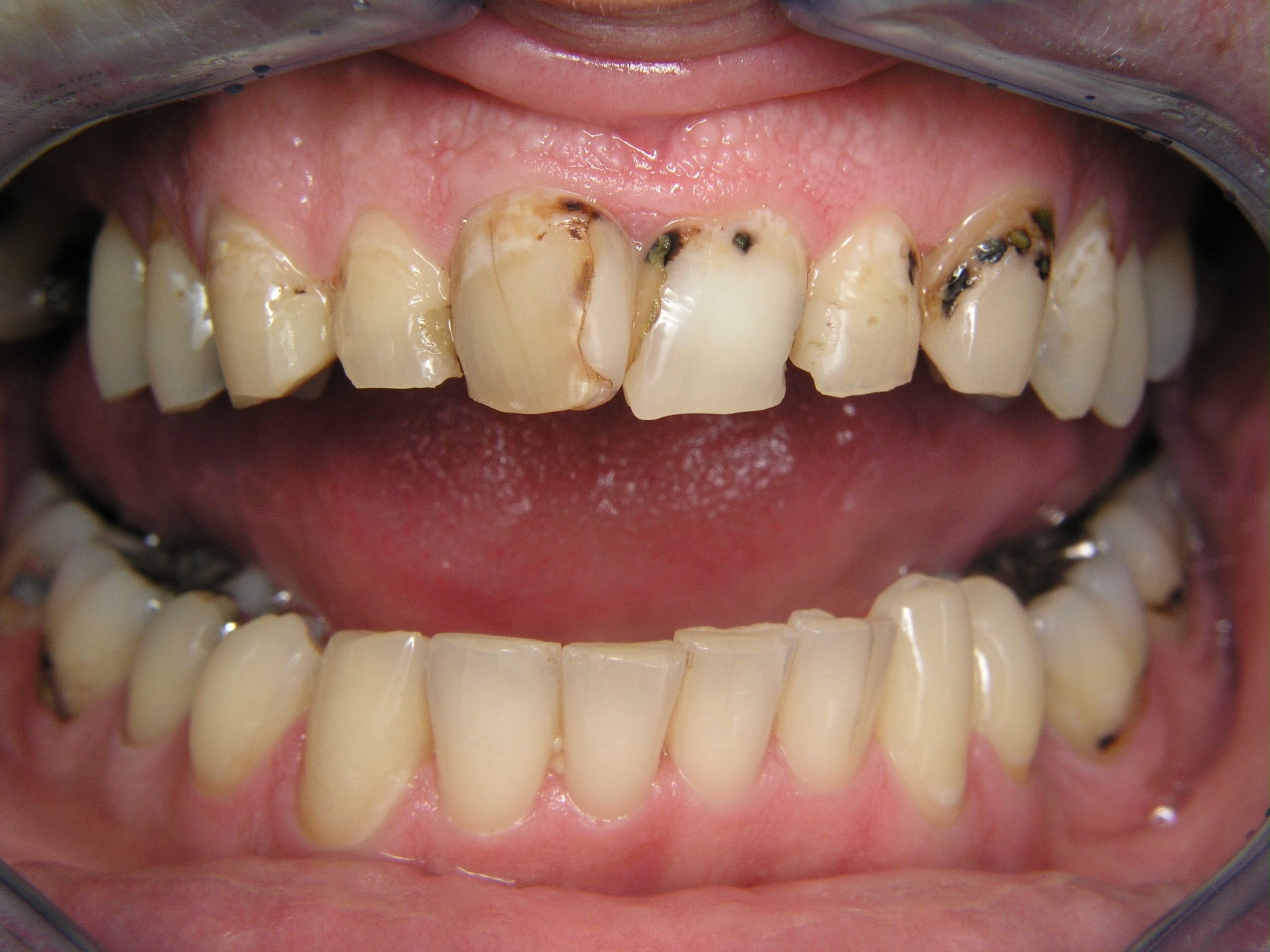
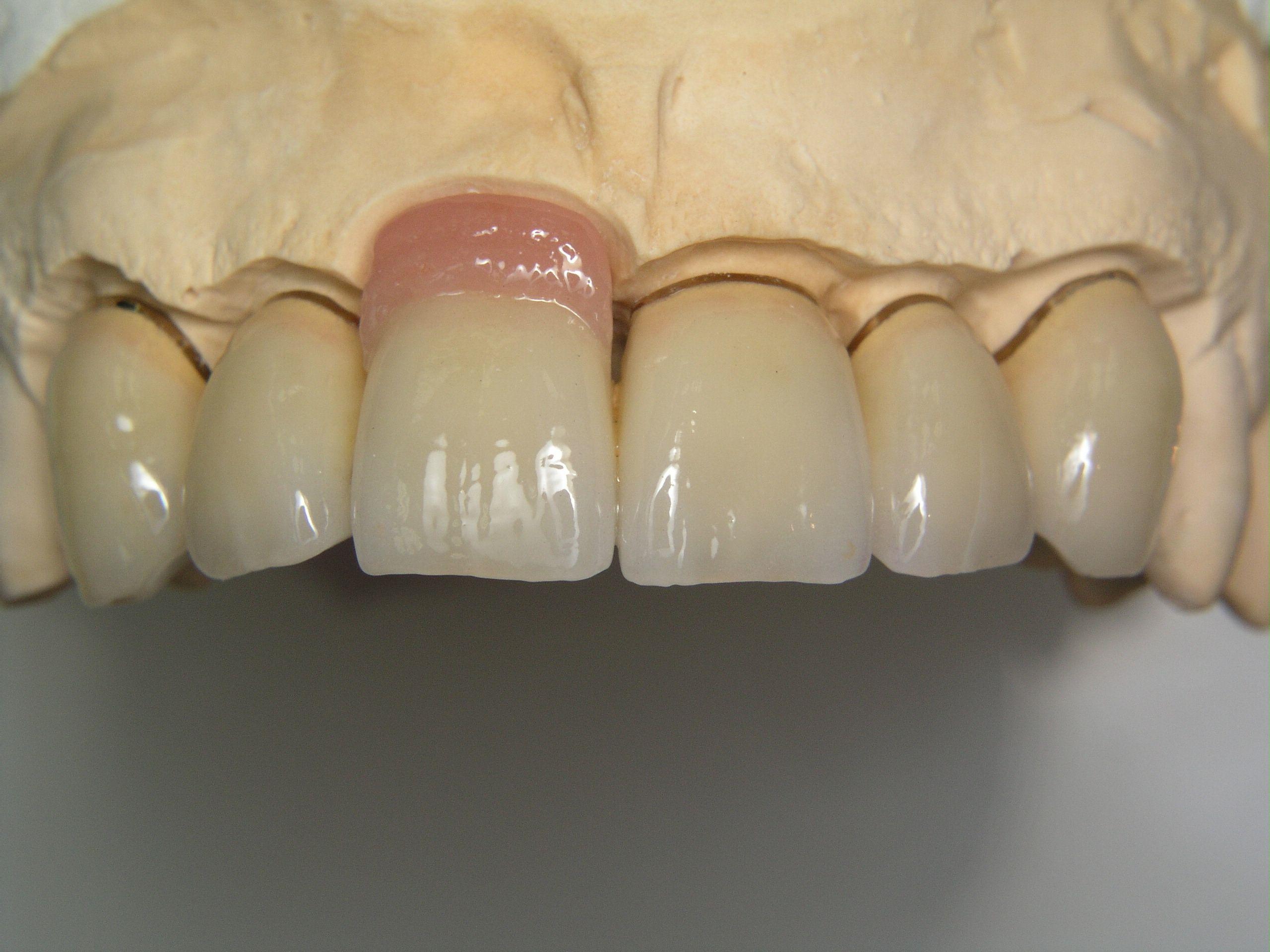
Project 4

Wanneer u op de foto’s klikt zal een vergroting worden weergegeven.