Sacredtooth
Tandtechniek Georges du Buy – Natuurgetrouwe tandheelkundige restauraties
Home
Wie zijn wij
Wat is Sacredtooth
Filosofietje
Gallery
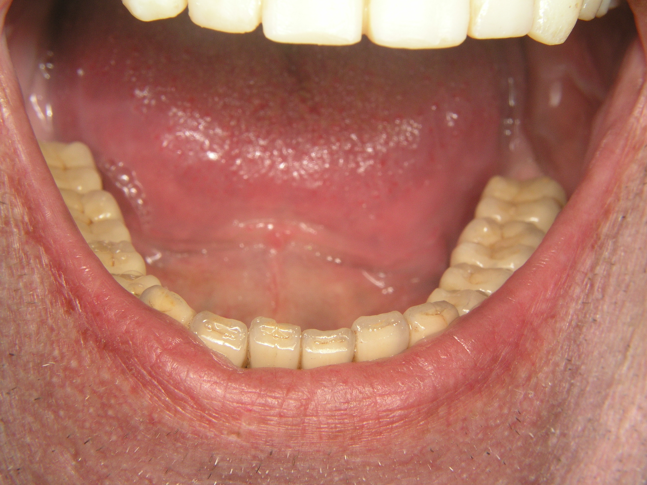
Kroon en Brugwerk
Projecten
Cad Cam
Project 2
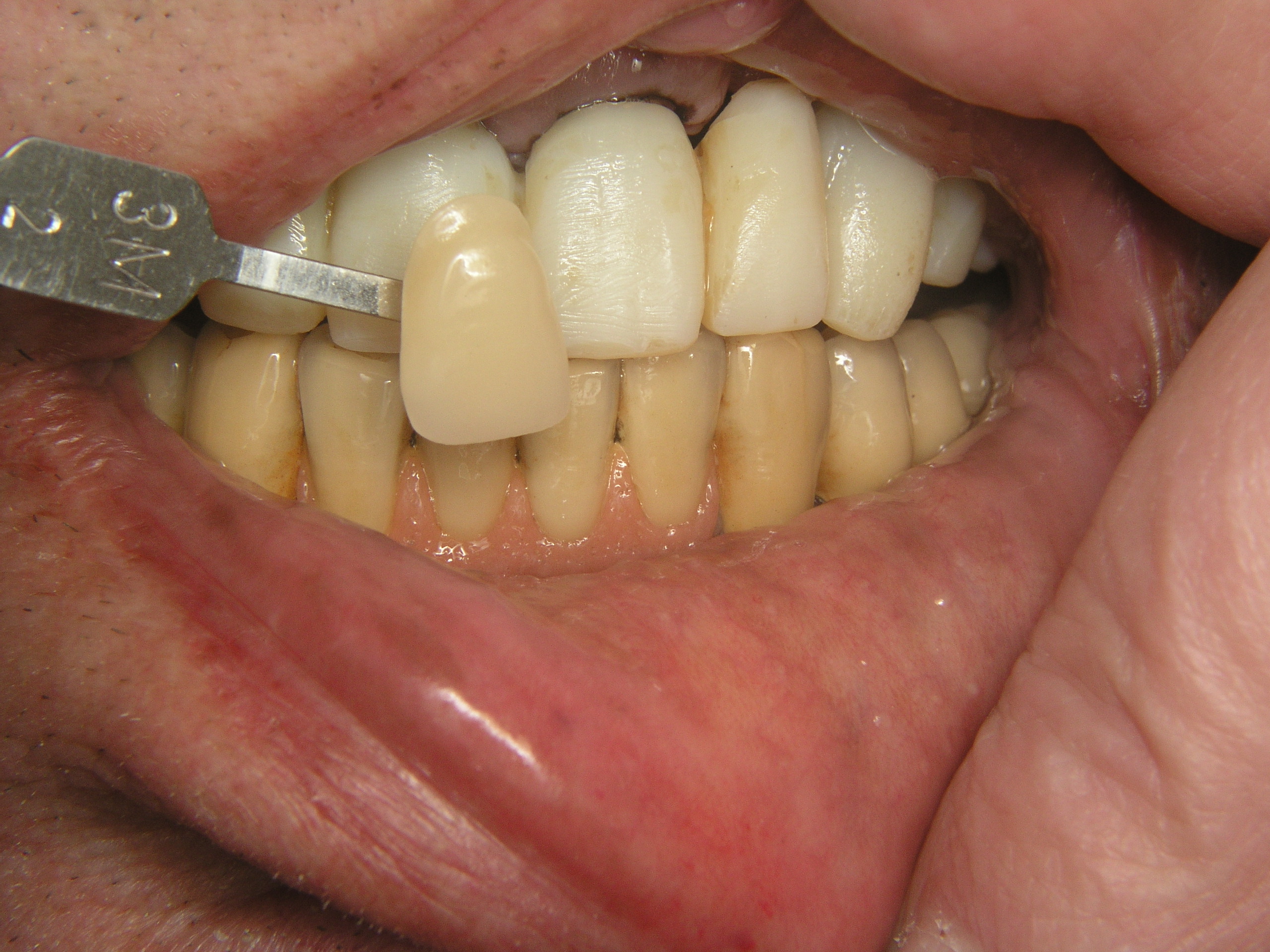
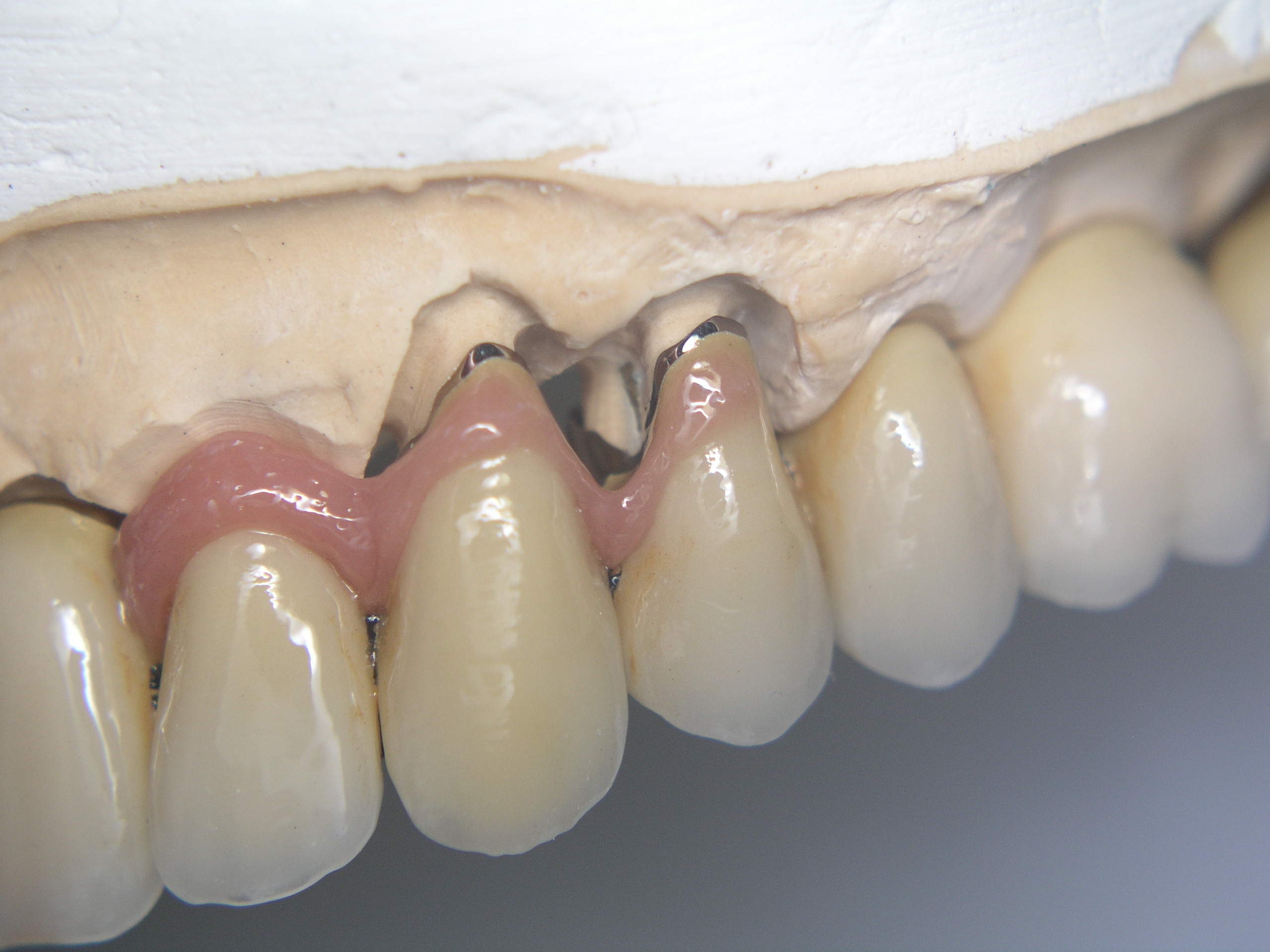
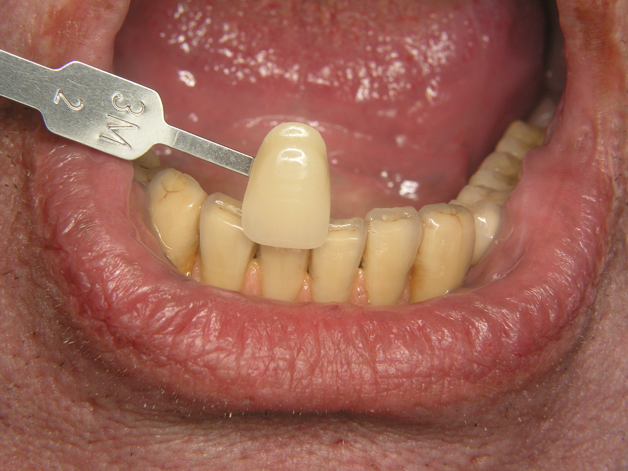
Wanneer u op de foto’s klikt zal een vergroting worden weergegeven.